The photos you provided may be used to improve Bing image processing services.
Privacy Policy
|
Terms of Use
Can't use this link. Check that your link starts with 'http://' or 'https://' to try again.
Unable to process this search. Please try a different image or keywords.
Try Visual Search
Search, identify objects and text, translate, or solve problems using an image
Drag one or more images here,
upload an image
or
open camera
Drop images here to start your search
To use Visual Search, enable the camera in this browser
All
Search
Images
Inspiration
Create
Collections
Videos
Maps
News
More
Shopping
Flights
Travel
Notebook
Autoplay all GIFs
Change autoplay and other image settings here
Autoplay all GIFs
Flip the switch to turn them on
Autoplay GIFs
Image size
All
Small
Medium
Large
Extra large
At least... *
Customized Width
x
Customized Height
px
Please enter a number for Width and Height
Color
All
Color only
Black & white
Type
All
Photograph
Clipart
Line drawing
Animated GIF
Transparent
Layout
All
Square
Wide
Tall
People
All
Just faces
Head & shoulders
Date
All
Past 24 hours
Past week
Past month
Past year
License
All
All Creative Commons
Public domain
Free to share and use
Free to share and use commercially
Free to modify, share, and use
Free to modify, share, and use commercially
Learn more
Clear filters
SafeSearch:
Moderate
Strict
Moderate (default)
Off
Filter
1200×680
iflscience.com
Alien Hand Syndrome: When Your Limbs Get A Mind Of Their Own | IF…
1024×571
BBC
Alien Hand Syndrome sees woman attacked by her own hand - BBC News
2048×1365
UPMC
Alien Hand Syndrome: Unwanted Movements | UPM…
700×372
All That's Interesting
Alien Hand Syndrome: What It Is And What Might Cause It
700×372
All That's Interesting
Alien Hand Syndrome: What It Is And What Might Cause It
900×628
All That's Interesting
Alien Hand Syndrome: What It Is And What Might Cause It
1280×720
ausmed.com
Alien Hand Syndrome | Ausmed
1024×575
www.medicalnewstoday.com
Alien hand syndrome: What it is, causes, and diagnosis
732×549
www.medicalnewstoday.com
Alien hand syndrome: What it is, causes, and diagnosis
1120×500
docquity.com
Alien Hand Syndrome: How Unwanted Movement Disrupts Lives - Docquity
1200×801
psychiatrist.com
Alien Hand Syndrome in Lewy Body Dementia
650×433
alodokter.com
Alien Hand Syndrome - Gejala, Penyebab, dan Pengobatan - Alod…
1280×720
autonomicmaterials.com
Alien Hand Syndrome: Tangan Bergerak Sendiri Tanpa Kendali ...
768×461
www.msn.com
Elderly woman 'terrified' after developing rare 'alien hand syndrome'
1920×1080
sketchfab.com
Alien Arm - 3D model by bryceolcott [5dbcaee] - Sketchfab
500×500
www.amazon.co.jp
Amazon MusicでAnarchic ArmのAlien …
1200×630
Bored Panda
A Genetic Condition Made This Man A Famous Horror Actor | Bored Panda
816×1203
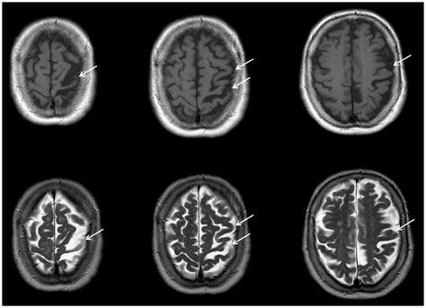
pmc.ncbi.nlm.nih.gov
Alien hand sign or alien hand synd…
620×877
jnnp.bmj.com
Transient alien hand syndrome: …
825×1007
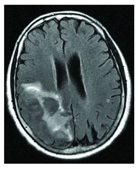
pmc.ncbi.nlm.nih.gov
Case Report: 84 year-old woman with alie…
1371×1800
BMJ
Posterior alien hand syndrome after a ri…
1320×1656
BMJ
Sensory alien hand syndrome: case re…
1280×1258
BMJ
Sensory alien hand syndrome: case report an…
1000×725
frontiersin.org
Frontiers | A Case of Right Alien Hand Syndrome Coexisting with Right ...
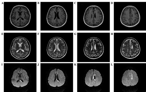
2126×1347
spandidos-publications.com
Alien hand syndrome following corpus callosum infarction: A case report ...
768×1024
scribd.com
Alien Hand Syndrome | PDF …
638×479
SlideShare
Alien hand syndrome
2048×1536
slideshare.net
Alien hand syndrome | PPTX
1500×1000
healthjade.net
Alien hand syndrome symptoms, causes & alien hand syndrome trea…
1200×675
www.coasttocoastam.com
Alien Hand Syndrome | Coast to Coast AM
3456×1728
mdsabstracts.org
The alien hand syndrome - MDS Abstracts
500×334
exploringyourmind.com
Alien Hand Syndrome - Psychology - Exploring your mind
1200×907
Damn Interesting
Alien Hand Syndrome • Damn Interesting
948×576
medlink.com
Alien hand syndrome | MedLink Neurology
850×604
brainandlife.org
What is Alien Hand Syndrome?
Some results have been hidden because they may be inaccessible to you.
Show inaccessible results
Report an inappropriate content
Please select one of the options below.
Not Relevant
Offensive
Adult
Child Sexual Abuse
Feedback